ºÎºÐ±³Á¤

ºÎºÐ±³Á¤À̶õ?

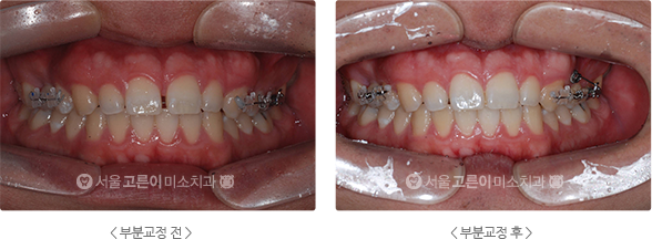
ºê¶óºªÀ» ºÎºÐÀûÀ¸·Î ºÎÂøÇÏ´Â ±³Á¤ÀÔ´Ï´Ù.
ÀϹÝÀûÀÎ ±³Á¤ÀÇ °æ¿ì ÃÖ¼Ò 1~2³â ÀÌ»ó ±³Á¤À» ÇØ¾ßÇÏÁö¸¸ ºÎºÐ±³Á¤Àº ±×º¸´Ù ÈξÀ ÀûÀº ±â°£¸¸À¸·Îµµ ±³Á¤È¿°ú¸¦ ÃæºÐÈ÷ º¼¼ö ÀÖ´Â ±³Á¤ÀÔ´Ï´Ù. ºê¶óÄÏÀ» ºÎºÐÀûÀ¸·Î ºÎÂøÇØ¼­ ÀüüÀûÀÎ ±³Á¤°ú ´Þ¸® ¹ßÀ½ÀÌ ÁÁÁö ¾Ê´Ù°Å³ª ½ÉÇÑ À̹°°¨Àº ´À²¸ÁöÁö ¾Ê´Â´Ù´Â ÀåÁ¡ÀÌ ÀÖ½À´Ï´Ù.

ºÎºÐ±³Á¤ÀÌ ÇÊ¿äÇÑ °æ¿ì

¨ç Ä¡¾Æ±³Á¤À» Çϼ̴ٰ¡ °ü¸® ¼ÒȦ·Î Àç±³Á¤À» ÇØ¾ßÇÏ´Â °æ¿ì ¨è ±³ÇÕ (À­´Ï¿Í ¾Æ·§´ÏÀÇ ¸À¹°¸²)Àº ÁÁÀºµ¥ º¸¿©Áö´Â ¾ÕºÎºÐÀÇ Ä¡¾Æ°¡ »ß¶Ô»ß¶ÔÇϰųª Æ´»õ°¡ ¹ú¾îÁ®¼­ °í¹ÎÀÎ °æ¿ì ¨é Ä¡¾Æ¼ºÇü¿¡ °ÅºÎ°¨À» °¡Áö°í °è½Å°æ¿ì